毎年、MRAに関する問題が高頻度で出題されます。本記事ではTOF-MRAに関して、問題をまじえてまとめて解説していきたいと思います。(問題はJMRTS 認定試験過去問より引用)
TOF-MRAとは?
流入効果(in flow effect)を利用し、血流を高信号化する手法である。臨床的には、何百枚もの元画像を最大値投影法(MIP)によって合成して血管を観察します。また、元画像は T1強調画像+血流高信号像 として利用します。ゆえに、T1値の短い血液崩壊産物の描出という問題(T1 shine through)が生じます。
第18回 問題26
TOF-MRAにおいて飽和効果を弱める方法はどれか。2つ選べ
- TRを短くする。
- 造影剤を用いる。
- スラブを厚くする。
- フリップ角を大きくする。
- スラブへの流入側のフリップ角を小さくする。
問題文中の「飽和効果を弱める方法」→「核スピンの信号を強くする方法」
と読み替えると問題が解きやすくなる。
解説
第18回 問題29
TOF-MRAにおいてについて正しいのはどれか。2つ選べ
- 脂肪抑制は必須である。
- 下肢動脈の2D-TOF MRAは拡張期に信号収集する。
- TEを短くすると位相分散の影響を小さくすることが出来る。
- 流速補正(flow compensation)を付加すると最短TEは延長する。
- 可変フリップアングル法は流入部のフリップアングルを高くする。
解説
必須である→ 必須でない TEをopposed phaseにすることで、脂肪信号を低下させることができる拡張期→ 収縮期 心電図同期を用いて流速の速い収縮期で収集することで、流入効果が高まる cf: 下肢動脈 2D-TOF vs FBI 項- 正しい
- 正しい
高く→ 低く 流入側から流出側に向かってFAを大きくする(TONE)
第19回 問題15
TOF-MRAについて正しいのはどれか. 2つ選べ。
- T1値の長い組織は高信号に描出される。
- 撮像断面に平行な走行の血管の描出に優れている。
- TEを短縮することで血管内腔の高信号が得られる。
- MTパルスを利用して脳実質の信号を低下させることができる。
- 傾斜フリップ角法はスラブへの流入側のflip angle を高く設定できる。
解説
長い→ 短い並行→ 垂直 TOF-MRAは流入効果を利用している- 正しい TEを短くすると位相分散の影響を小さくすることが出来る
- 正しい タンパク質に含まれる信号を飽和させる手法
高く→ 低く 傾斜フリップ角法(TONE)
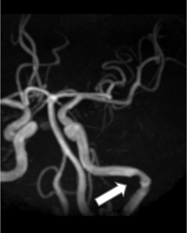
第13回 問題38
3D TOF-MRA MIP画像の内頚動脈の信号欠損(矢印)に関して血管狭窄以外に考えられる影響はどれか.(正解2つ)

- 乱流
- 飽和効果
- 位相分散
- MTC効果
- In-flow 効果
TEを短くすると位相分散の影響を小さくすることが出来て、乱流の影響を抑えることが出来る
解説
- 正しい
- 間違い
- 正しい
- 間違い
- 間違い
第15回 問題26
MRA(magnetic resonance angiography)に関する正しい記述はどれか. 2つ選べ.
- 造影MRのTEはopposed phaseが望ましい.
- TOF(time of flight)法はT1値の長い組織が高信号になる.
- FBI(fresh blood imaging)法は収縮期と拡張期の信号強度差を利用する.
- TONE(tilted optimized non-saturating excitation)法は流入側から流出側に向かってFAを小さくする.
- PC(phase contrast)法はVENC(velocity encoding)を超える流速を遅い流速として表現してしまうことがある.
解説
opposed phase→ Ex. 最短TE + CHESS 造影+opposed phaseはparadoxical suppressionが起こる可能性がある長い→ 短い- 正しい 拡張期ー収縮期 cf: 下肢動脈 2D-TOF vs FBI 項
小さく→ 大きく (TONE)- 正しい 速度エイリアシング
第5回 問題4
- 下肢動脈を心電図同期 2D-TOF(time of flight)法で撮像する目的は, 動脈血の流入効果を低減させるためである.
- PC(phase contrast)法を用いる場合, VENC(velocityencoding)は予想される最大流速の2倍以上に設定する必要がある.
- 心電図同期 2D-TOF(time of flight)法において心拍数60bpm, 位相エンコード方向のmatrix数256, 1心拍当たりのデータ収集数16, 加算回数1回としたときの1スライス当たりの撮像時間は16秒である.
- 3D-TOF(time of flight)法で利用されるTONE法とは, RFパルスのフリップ角を血流の流入側で浅く, 流出側で深くしている.
- 2D-TOF(time of flight)法では, 可能な限り目的の血管と平行な断面となるように撮像することが望ましい.
解説
低減→ 向上 収縮期で撮像すると流入効果が向上する cf: 下肢動脈 2D-TOF vs FBI 項2倍以上→ 4/3倍- 正しい 60bpm=1秒間に1心拍 256[matrix]÷16[date数/拍]=16秒
- 正しい
平行→ 垂直
下肢動脈 2D-TOF vs FBI
同じ心電図を用いた下肢動脈の描出方法で、「2D-TOF」と「FBI」が紛らわしいので表にしてまとめてみました。



コメント