近年、頭部MRSに関する問題が久しぶりに出題されました。本記事では、問題をまじえてまとめていきたいと思います。(問題はJMRTS 認定試験過去問より引用)
第11回 問題24, 第10回 問題24
次に示す頭蓋内腫瘍プロトンMRS(PRESS TR/TE=2000/35)の説明について, 正しいものを選択して下さい.(正解2つ)
- Cr(クレアチン)は病的な状態に敏感である.
- Lactateはエネルギー代謝障害が起こると低下する.
- Cho(コリン)は細胞増殖や破壊の亢進が起こると上昇する.
- NAA(N-acetyl-aspartate)は神経細胞障害や発達障害が起こると上昇する.
- ppm(parts per million)表記では, 化学シフトの差が静磁場強度に依存しない普遍的な定数となる.
解説
敏感→ 安定したピーク低下→ 上昇- 正しい
上昇する→ 低下する (神経細胞障害の一例に軸索損傷がある)- 正しい
第14回 問題25
Proton MR spectroscopy(MRS)に関する正しい記述はどれか. 2つ選べ.
- 肝性脳症はグルタミンが低下する.
- 脳虚血は乳酸(lactate)が低下する.
- 多発性硬化症はコリン(cho)が上昇する.
- 放射線壊死のような病態では脂質(lipid)が上昇する.
- びまん性軸索損傷はNAA(N-acetyl-aspartate)が上昇する.
解説
- 低下する → 上昇する
- 低下する → 上昇する(lactateは嫌気性代謝が進むと検出される)
- 正しい (choは細胞膜の生成や破壊に関係する)
- 正しい
- 上昇する → 低下する 神経細胞障害の一例に軸索損傷がある)
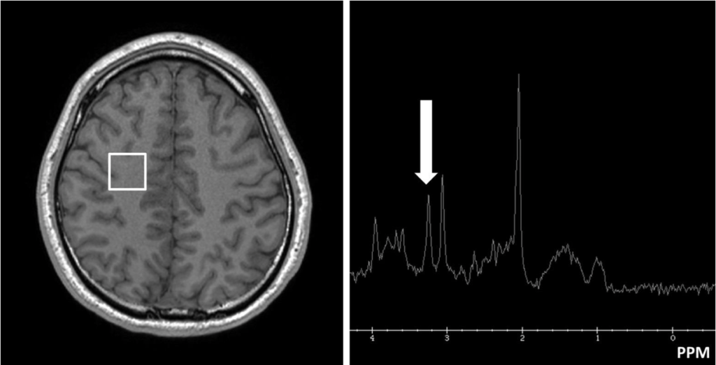
第20回 問題33
健常成人の脳(図左が関心領域)の1H-MRS スペクトラム(TR 2000 ms, TE 35 ms)を示す。矢印が示すピークの代謝物はどれか。

- Lactate
- Myo-inositol
- N-acetyl aspartate
- Creatine and phosphocreatine
- Choline-containing compounds
解説
- 間違い Lac: 1.3[ppm]
- 間違い ml: 3.5[ppm]
- 間違い NAA: 2.0[ppm]
- 間違い Cr: 3.0, 3.9[ppm]
- 正しい Cho: 3.2[ppm]
第8回 問題9
次に示す頭蓋内腫瘍プロトンMRS(PRESS TR/TE=2000/35)の説明について, 正しいものを選択して下さい.(正解3つ)
- アラニン(Alanin)のピークが確認できるので髄膜腫を疑う.
- クレアチン(Creatine)のピークが大きいので悪性腫瘍を疑う
- コリン(Choline)のピークが大きいので細胞活性の高い疾患を疑う.
- 乳酸(Lactate)のピークが確認できるので代謝異常や悪性腫瘍を疑う.
- N-アスパラギン酸(NAA)のピークが確認できるため神経細胞由来の腫瘍などを疑う.

解説
- 正しい Ala: negative double peak1.47[ppm]
大きいので→ 小さいと Cr: 神経組織の存在を表す- 正しい Cho: 細胞膜の産生・崩壊を表す
- 正しい
- ピークはあるが、増加はしていない
第6回 問題40
右図に示す頭蓋内腫瘍プロトンMRS(PRESS TR/TE=2000/35)の説明について, 正しい文章を選択して下さい.(正解2つ)
- 脂質(Lipid)ピークが高いので組織壊死, 炎症を疑う.
- 乳酸(Lactate)のピークが低いので代謝異常を疑う.
- クレアチン(Creatine)のピークが高いので腫瘍を疑う.
- コリン(Choline)のピークが高いので細胞活性の高い腫瘍を疑う.
- N-アスパラギン酸(NAA)のピークが高いので神経源性の腫瘍などを疑う.

解説
- 正しい Lipid: 1.3, 0.9[ppm] 虚血壊死、脱髄などでピークは上昇
- 低い → 高い Lactate: 1.3[ppm] 代謝障害で上昇する。正常時にはみられない
- 高い → 減少する
- 正しい
- ピークはあるが、増加はしていない
脳腫瘍鑑別
コリン(Cho)のピークが高く、クレアチン(Cr)が小さいと脳腫瘍を疑う
MRS 教科書
オススメ教科書で記載した教科書以外に、MRSに関して詳細に分かりやすく記載されている教科書を紹介します。他の原理部分も分子レベルでの解説をしてくれています。
created by Rinker
¥7,700
(2026/02/24 05:20:39時点 楽天市場調べ-詳細)


コメント